Powrót do chodzenia po operacji haluksa to proces, który wymaga cierpliwości i ścisłego przestrzegania zaleceń lekarza. Ten szczegółowy przewodnik krok po kroku przedstawi Ci kluczowe etapy rekonwalescencji, pomoże zrozumieć, kiedy możesz zacząć obciążać stopę, jak długo będziesz potrzebować kul i specjalistycznego obuwia, a także kiedy możesz realnie oczekiwać powrotu do pełnej sprawności. Dzięki niemu dowiesz się, co jest normalne, a co powinno wzbudzić Twój niepokój, i jak aktywnie wspierać swój powrót do zdrowia.
Przeczytaj również: Leczenie haluksów: metody zachowawcze i operacyjne - kompleksowy przewodnik
Kiedy wrócisz do pełnej sprawności po operacji haluksa kluczowe etapy rekonwalescencji
- Chodzenie możliwe jest już kilka godzin po operacji, ale wyłącznie w specjalnym bucie ortopedycznym odciążającym przodostopie i z pomocą kul.
- Przez pierwsze 4-6 tygodni konieczne jest noszenie buta pooperacyjnego i bezwzględny zakaz pełnego obciążania przodostopia, co jest kluczowe dla zrostu kości.
- Po około 6 tygodniach i kontrolnym RTG, lekarz zezwoli na odstawienie buta i stopniowy powrót do normalnego obuwia.
- Rehabilitacja jest niezbędna i rozpoczyna się już w pierwszych dniach, a intensyfikuje po 6 tygodniach, by przywrócić pełną sprawność.
- Utrzymujący się obrzęk stopy jest normalny i może występować nawet do 6 miesięcy po zabiegu.
- Długość zwolnienia lekarskiego (L4) zależy od rodzaju pracy od 2-3 tygodni (praca biurowa) do 3 miesięcy (praca fizyczna).

Pierwsze kroki po operacji haluksa: co musisz wiedzieć?
Już kilka godzin po zabiegu możesz postawić pierwsze kroki, ale pamiętaj, że jest to możliwe tylko pod pewnymi warunkami. Kluczowe jest zastosowanie specjalistycznego obuwia ortopedycznego, takiego jak but Barouka lub tzw. "but gejszy". Jego głównym zadaniem jest odciążenie przodostopia, co jest absolutnie niezbędne dla prawidłowego procesu gojenia i zrostu kostnego. Towarzyszyć Ci będą również kule łokciowe, które zapewnią stabilność, pomogą w utrzymaniu równowagi i odciążą operowaną stopę, minimalizując ryzyko powikłań.
Pierwsze godziny i dni: Jak bezpiecznie postawić pierwszy krok?
Już kilka godzin po zabiegu możesz postawić pierwsze kroki, ale pamiętaj, że jest to możliwe tylko pod pewnymi warunkami. Kluczowe jest zastosowanie specjalistycznego obuwia ortopedycznego, takiego jak but Barouka lub tzw. "but gejszy". Jego głównym zadaniem jest odciążenie przodostopia, co jest absolutnie niezbędne dla prawidłowego procesu gojenia i zrostu kostnego. Towarzyszyć Ci będą również kule łokciowe, które zapewnią stabilność, pomogą w utrzymaniu równowagi i odciążą operowaną stopę, minimalizując ryzyko powikłań.
Rola buta ortopedycznego: Dlaczego ten "niewygodny" but jest Twoim największym sprzymierzeńcem?
But pooperacyjny, często nazywany butem Barouka, odgrywa fundamentalną rolę w procesie rekonwalescencji. Nie jest to tylko kwestia komfortu, ale przede wszystkim gwarancja prawidłowego zrostu kostnego. Chroni on operowaną stopę przed niepożądanym naciskiem i urazami, które mogłyby zagrozić sukcesowi zabiegu. Zazwyczaj zaleca się noszenie go przez okres od 4 do 6 tygodni, a w niektórych przypadkach nawet do 8 tygodni. Ostateczna decyzja o czasie noszenia buta należy jednak do lekarza prowadzącego, który oceni postępy na podstawie kontrolnych badań obrazowych, takich jak RTG.
Kule łokciowe: Jak długo będą Ci towarzyszyć i jak ich prawidłowo używać?
Kule łokciowe są Twoimi tymczasowymi pomocnikami, niezbędnymi do bezpiecznego poruszania się w początkowym okresie po operacji. Ich głównym zadaniem jest asekuracja i odciążenie operowanej stopy, co jest ściśle związane z okresem noszenia buta pooperacyjnego i zakazem pełnego obciążania przodostopia czyli przez pierwsze około 4-6 tygodni. Pamiętaj, że kule służą przede wszystkim do odciążenia, a nie do pełnego obciążania operowanej nogi. Oto kilka podstawowych zasad ich używania:
- Używaj kul do utrzymania równowagi i odciążenia stopy podczas chodzenia.
- Staraj się przenosić ciężar ciała na zdrowe kończyny i ramiona.
- Nie obciążaj nadmiernie operowanej nogi, nawet jeśli czujesz się pewniej.
- Poproś fizjoterapeutę o instruktaż prawidłowego chodu o kulach.

Pierwsze 6 tygodni po operacji: klucz do prawidłowego zrostu
Okres pierwszych sześciu tygodni po operacji haluksa jest absolutnie kluczowy dla zapewnienia prawidłowego zrostu kostnego. W tym czasie priorytetem jest ochrona operowanej stopy i ścisłe przestrzeganie zaleceń dotyczących obciążania. Wczesna, choć delikatna, rehabilitacja również odgrywa ważną rolę w zapobieganiu powikłaniom i przygotowaniu stopy do dalszych etapów powrotu do sprawności.
Zakaz obciążania przodostopia: Co to dokładnie oznacza w codziennym życiu?
Bezwzględny zakaz pełnego obciążania przodostopia przez pierwsze 4-6 tygodni po operacji to jeden z najważniejszych aspektów rekonwalescencji. Oznacza to, że nie powinieneś przenosić całego ciężaru ciała na palce i przednią część stopy. W praktyce wygląda to następująco:
- Jak się poruszać: Stawiaj stopę ostrożnie, opierając się głównie na pięcie. Unikaj stawiania palców na ziemi z pełnym obciążeniem. Chód powinien być powolny i kontrolowany, z wykorzystaniem kul.
- Czego unikać: Absolutnie zabronione jest bieganie, skakanie, długie stanie na palcach, a także noszenie obuwia, które nie zapewnia odpowiedniego odciążenia. Należy unikać wszelkich aktywności, które generują nacisk na przodostopie.
Przestrzeganie tego zakazu jest fundamentalne dla sukcesu operacji i zapobiega powikłaniom związanym z przemieszczeniem się zespolonych kości.
Domowa rehabilitacja w początkowej fazie: Proste ćwiczenia na obrzęk i krążenie
Choć okres pierwszych tygodni to czas ograniczeń, rehabilitacja rozpoczyna się już od pierwszych dni po zabiegu. Proste ćwiczenia wykonywane w domu są kluczowe dla zmniejszenia obrzęku, poprawy krążenia i zapobiegania zakrzepicy. Pamiętaj, aby wykonywać je w granicach komfortu, bez wywoływania bólu i bez obciążania przodostopia. Oto kilka przykładów:
- Ćwiczenia palców: Delikatne poruszanie palcami stopy w górę i w dół, na ile pozwala komfort.
- Zginanie i prostowanie w stawie skokowym: Powolne ruchy zginania stopy w kierunku piszczeli i prostowania jej w dół, w zakresie bezbolesnym.
- Unoszenie nogi: Leżąc lub siedząc, unoszenie operowanej nogi powyżej poziomu serca, aby wspomóc odpływ limfy i zmniejszyć obrzęk.
- Delikatny automasaż: Lekkie głaskanie kończyny w kierunku serca, aby wspomóc krążenie.
Wizyta kontrolna i zdjęcie szwów: Kiedy następuje i czego się spodziewać?
Zazwyczaj około 14 dni po zabiegu chirurgicznym następuje wizyta kontrolna połączona ze zdjęciem szwów. Lekarz oceni stan rany pooperacyjnej, sprawdzi, czy nie ma oznak infekcji i czy proces gojenia przebiega prawidłowo. Może również udzielić dodatkowych wskazówek dotyczących dalszej pielęgnacji rany oraz ewentualnych modyfikacji w sposobie poruszania się czy dalszych ćwiczeniach. To ważny moment, który pozwala ocenić początkowy etap rekonwalescencji.
Kiedy po operacji haluksa odstawisz but i wrócisz do normalnego obuwia?
Po upływie około 6 tygodni od operacji nadchodzi moment przełomowy. Kluczowe jest wówczas wykonanie kontrolnego zdjęcia rentgenowskiego (RTG), które pozwoli lekarzowi ocenić, czy kości prawidłowo się zrosły. Jeśli obraz RTG potwierdzi sukces osteotomii, lekarz zazwyczaj zezwoli na odstawienie specjalistycznego buta pooperacyjnego. To sygnał, że możesz zacząć stopniowo wracać do noszenia normalnego obuwia i coraz śmielej obciążać operowaną stopę.
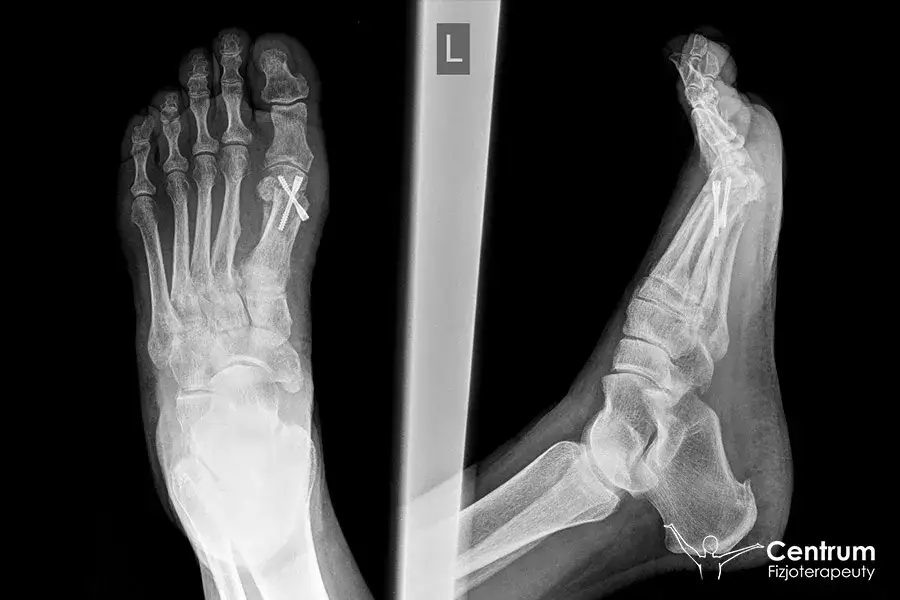
Decydujące zdjęcie RTG: Jak lekarz ocenia zrost kostny po 6 tygodniach?
Po około sześciu tygodniach od operacji wykonuje się kontrolne zdjęcie RTG. Jest to kluczowy moment diagnostyczny, podczas którego lekarz ocenia stopień zrostu kostnego w miejscu przeprowadzonej osteotomii. Analizuje się linię złamania, obecność tkanki kostnej wypełniającej ubytek oraz stabilność zespolenia. Pozytywny wynik, czyli potwierdzenie prawidłowego zrostu, jest podstawą do podjęcia decyzji o dalszym postępowaniu, w tym o możliwości odstawienia buta ortopedycznego i rozpoczęcia pełniejszego obciążania stopy.
Pierwsze kroki bez specjalistycznego obuwia: Jakie buty wybrać na początek?
Po odstawieniu buta ortopedycznego możesz zacząć stopniowo wracać do noszenia normalnego obuwia. Na tym etapie kluczowy jest wybór odpowiednich butów, które zapewnią komfort i bezpieczeństwo. Zaleca się przede wszystkim:
- Szerokie i wygodne: Buty powinny mieć wystarczająco dużo miejsca na stopę, aby nie uciskać operowanego obszaru.
- Na płaskiej podeszwie: Unikaj obcasów, które mogą nadmiernie obciążać przodostopie. Podeszwa powinna być elastyczna, ale jednocześnie stabilna.
- Z dobrym wsparciem: Wybieraj buty z odpowiednim wyprofilowaniem i amortyzacją.
Pamiętaj, że powrót do butów na obcasie jest możliwy znacznie później, najwcześniej po 3-4 miesiącach od operacji, i zawsze wymaga indywidualnej konsultacji z lekarzem lub fizjoterapeutą.
Stopniowe zwiększanie obciążenia: Jak mądrze wracać do normalnego chodzenia?
Proces stopniowego zwiększania obciążenia stopy po odstawieniu buta ortopedycznego wymaga uwagi i rozsądku. Kluczowe jest słuchanie własnego ciała i unikanie sytuacji, które mogłyby prowadzić do przeciążeń lub bólu. Zaczynaj od krótkich spacerów, stopniowo wydłużając ich dystans i czas. Obserwuj reakcję stopy jeśli pojawia się dyskomfort, zmniejsz obciążenie. Pamiętaj, że powrót do pełnej aktywności fizycznej to proces, który wymaga czasu, cierpliwości i konsekwencji w działaniu.
Pełna sprawność po operacji haluksa: rola rehabilitacji i powrót do aktywności
Po okresie odciążania i pierwszych krokach w normalnym obuwiu, kluczowa staje się profesjonalna fizjoterapia. Intensywniejsze ćwiczenia pomogą odzyskać pełną sprawność, siłę i zakres ruchu w stopie. Warto również wiedzieć, jak radzić sobie z utrzymującym się obrzękiem i bólem, a także poznać realistyczne ramy czasowe powrotu do bardziej wymagających aktywności, takich jak bieganie czy noszenie butów na obcasie.
Profesjonalna fizjoterapia: Dlaczego jest niezbędna po 6. tygodniu?
Po około 6 tygodniach, gdy stopa jest już w stanie przyjmować większe obciążenia, profesjonalna fizjoterapia staje się nieodzowna. Jej celem jest przywrócenie pełnej funkcji operowanej kończyny i zapobieganie długoterminowym problemom. Fizjoterapia na tym etapie zazwyczaj obejmuje:
- Terapię manualną: Mobilizację stawów i tkanek miękkich w celu przywrócenia prawidłowej biomechaniki stopy.
- Mobilizację blizny: Zapobieganie zrostom i poprawa elastyczności tkanki bliznowatej.
- Ćwiczenia wzmacniające: Ukierunkowane na mięśnie stopy i podudzia, aby przywrócić siłę i stabilność.
- Ćwiczenia poprawiające zakres ruchu: Rozciąganie i ćwiczenia zakresu ruchu w stawie skokowym i palcach.
- Ćwiczenia propriocepcji: Poprawa czucia głębokiego i równowagi.
Regularna i odpowiednio dobrana fizjoterapia znacząco przyspiesza powrót do zdrowia i minimalizuje ryzyko nawrotu problemów.
Walka z obrzękiem i bólem: Jakie objawy są normalne, a co powinno zaniepokoić?
Utrzymujący się obrzęk stopy jest zjawiskiem dość powszechnym i może utrzymywać się nawet do 6 miesięcy po operacji. Jest to naturalna reakcja organizmu na zabieg. Ból, który jest najbardziej odczuwalny w pierwszych dniach po operacji, powinien być skutecznie kontrolowany za pomocą przepisanych przez lekarza środków przeciwbólowych. Należy jednak zwracać uwagę na pewne sygnały, które mogą świadczyć o powikłaniach. Powinieneś skontaktować się z lekarzem, jeśli zauważysz:
- Nagłe, silne nasilenie bólu, które nie ustępuje po lekach.
- Gorączkę lub dreszcze.
- Znaczne zaczerwienienie, obrzęk lub uczucie gorąca w okolicy rany.
- Wyciek ropny z rany.
- Pojawienie się nieprzyjemnego zapachu.
Szybka reakcja i konsultacja lekarska w takich przypadkach są kluczowe dla uniknięcia poważniejszych komplikacji.
Kiedy będziesz mógł wrócić do biegania, sportu i... butów na obcasie?
Powrót do pełnej aktywności fizycznej po operacji haluksa jest procesem stopniowym i bardzo indywidualnym. Realistyczne ramy czasowe wyglądają następująco: bieganie i bardziej intensywne formy sportu są zazwyczaj możliwe po kilku miesiącach od zabiegu, ale zawsze po konsultacji z lekarzem i fizjoterapeutą, którzy ocenią gotowość stopy. Powrót do noszenia butów na obcasie jest możliwy najwcześniej po 3-4 miesiącach, pod warunkiem, że stopa jest w pełni sprawna i nie odczuwasz bólu. Pamiętaj, że kluczem jest cierpliwość i dostosowanie tempa rekonwalescencji do indywidualnych możliwości organizmu.
Tempo rekonwalescencji po haluksie: co wpływa na Twój powrót do formy?
Każdy pacjent przechodzi rekonwalescencję inaczej. Na indywidualne tempo powrotu do pełnej sprawności po operacji haluksa wpływa wiele czynników. Zrozumienie ich może pomóc w lepszym zarządzaniu procesem leczenia i realistycznym planowaniu powrotu do codziennych aktywności.
Wpływ metody operacyjnej: Czy techniki małoinwazyjne przyspieszają powrót do zdrowia?
Metoda, którą zastosowano podczas operacji, ma znaczący wpływ na czas rekonwalescencji. Nowoczesne, małoinwazyjne techniki, takie jak metoda MICA (Minimal Invasive Chevron and Akin osteotomy), często pozwalają na szybsze obciążanie stopy i potencjalnie skracają okres powrotu do pełnej sprawności w porównaniu do tradycyjnych, otwartych metod operacyjnych. Mniejsze cięcia chirurgiczne oznaczają zazwyczaj mniejszy uraz tkanek, szybsze gojenie i mniejsze ryzyko powikłań.
Twoje zaangażowanie w proces leczenia: Jak możesz sobie pomóc?
Najważniejszym czynnikiem przyspieszającym powrót do zdrowia jesteś Ty sam. Twoje aktywne zaangażowanie w proces leczenia ma nieocenione znaczenie. Oto kluczowe elementy, które możesz wdrożyć:
- Ścisłe przestrzeganie zaleceń lekarza: Dotyczy to zarówno okresu odciążania, jak i noszenia obuwia czy aktywności fizycznej.
- Sumienna rehabilitacja: Regularne wykonywanie zaleconych ćwiczeń, zarówno tych domowych, jak i pod okiem fizjoterapeuty.
- Dbanie o higienę rany: Zapobieganie infekcjom jest kluczowe dla prawidłowego gojenia.
- Unikanie przeciążeń: Słuchanie swojego ciała i nieprzekraczanie jego możliwości, zwłaszcza w początkowych etapach powrotu do aktywności.
- Zdrowy styl życia: Odpowiednia dieta i nawodnienie wspierają procesy regeneracyjne organizmu.
Wiek i ogólny stan zdrowia: Jak wpływają na gojenie?
Wiek pacjenta oraz jego ogólny stan zdrowia mają istotny wpływ na tempo gojenia się ran i rekonwalescencji po operacji. Osoby młodsze zazwyczaj regenerują się szybciej, podczas gdy u osób starszych proces ten może być dłuższy. Choroby współistniejące, takie jak cukrzyca, problemy z krążeniem czy osteoporoza, mogą dodatkowo komplikować gojenie i wydłużać czas powrotu do pełnej sprawności. Negatywny wpływ może mieć również palenie papierosów, które zaburza ukrwienie tkanek.
Praktyczne aspekty powrotu do codzienności po operacji haluksa
Poza samą fizyczną rekonwalescencją, powrót do codzienności wiąże się z wieloma praktycznymi pytaniami. Kiedy można bezpiecznie wrócić za kierownicę? Jak długo potrwa zwolnienie lekarskie? Kiedy chodzenie po schodach przestanie być wyzwaniem? Odpowiedzi na te pytania pomogą Ci lepiej zaplanować najbliższe tygodnie i miesiące.
Kiedy będziesz mógł bezpiecznie prowadzić samochód?
Możliwość bezpiecznego prowadzenia samochodu po operacji haluksa jest uzależniona od kilku czynników. Przede wszystkim, od tego, która noga była operowana, ponieważ prowadzenie auta z prawą nogą operowaną (zwłaszcza w przypadku manualnej skrzyni biegów) jest bardziej problematyczne. Kluczowe jest również odzyskanie pełnej kontroli nad stopą i braku bólu podczas operowania pedałami. Zazwyczaj pacjenci mogą wrócić do prowadzenia samochodu nie wcześniej niż po 6-8 tygodniach od zabiegu, a najlepiej po odstawieniu buta ortopedycznego i uzyskaniu zgody lekarza.
Zwolnienie lekarskie (L4): Jak długa przerwa od pracy Cię czeka?
Długość zwolnienia lekarskiego (L4) po operacji haluksa jest ściśle powiązana z rodzajem wykonywanej pracy. Jeśli Twoja praca ma charakter siedzący, biurowy, powrót do niej jest zazwyczaj możliwy już po około 2-3 tygodniach od zabiegu, pod warunkiem, że możesz swobodnie przemieszczać się do miejsca pracy. Natomiast w przypadku pracy fizycznej, która wymaga stania, chodzenia lub dźwigania, zwolnienie lekarskie może potrwać znacznie dłużej, nawet do 3 miesięcy, ze względu na konieczność pełniejszego odciążenia stopy i dłuższy czas rekonwalescencji.
Chodzenie po schodach: Kiedy przestanie być wyzwaniem?
Początkowo chodzenie po schodach może stanowić spore wyzwanie. Wymaga ono ostrożności, dobrej koordynacji i często wsparcia kul, zwłaszcza jeśli operowana była jedna z nóg. Z czasem, w miarę postępów w rehabilitacji, wzmacniania mięśni stopy i odzyskiwania pełnego zakresu ruchu, czynność ta staje się coraz łatwiejsza. Pełna swoboda i komfort podczas wchodzenia i schodzenia po schodach zostaną odzyskane wraz z osiągnięciem pełnej sprawności po zakończeniu procesu leczenia.
