Ile czasu na badania do pracy? Musisz mieć orzeczenie przed startem!
15 września 2025
Ile masz czasu na badania do pracy? Orzeczenie lekarskie to podstawa przed startem! Poznaj zasady, koszty i uniknij kar. Sprawdź!
15 września 2025
Ile masz czasu na badania do pracy? Orzeczenie lekarskie to podstawa przed startem! Poznaj zasady, koszty i uniknij kar. Sprawdź!
14 września 2025
Migrena: Poznaj skuteczne metody walki z bólem, domowe sposoby, leki OTC i nowoczesne terapie. Odzyskaj kontrolę nad życiem!
14 września 2025
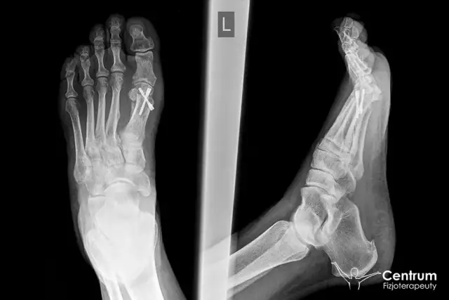
Odkryj szczegółowy harmonogram rekonwalescencji po operacji haluksa. Sprawdź, czego się spodziewać w pierwszych tygodniach i miesiącach po zabiegu.
14 września 2025
Dowiedz się, dlaczego chirurg nosi maseczkę. Odkryj kluczowe powody ochrony pacjenta i personelu medycznego na sali operacyjnej.
12 września 2025
Dowiedz się, ile masz czasu na rejestrację skierowania na rehabilitację (NFZ). Sprawdź terminy dla fizjoterapii, sanatorium i e-skierowań.
12 września 2025
Poznaj zakres działań chirurga szczękowo-twarzowego: od urazów po nowotwory. Dowiedz się, kiedy potrzebujesz tego specjalisty.
11 września 2025
Szukasz szczegółowego przewodnika po powrocie do chodzenia po operacji haluksa? Odkryj etapy rekonwalescencji, oś czasu i praktyczne wskazówki.
11 września 2025
Boli Cię żołądek? Odkryj domowe sposoby, leki bez recepty i dowiedz się, kiedy pilnie iść do lekarza. Znajdź szybką ulgę i spokój!
10 września 2025
GGTP: Co to za badanie? Dowiedz się, co oznaczają wyniki (niskie, wysokie), jak się przygotować i obniżyć GGTP. Sprawdź, co mówi o wątrobie!
10 września 2025
Chcesz zostać chirurgiem w Polsce? Odkryj pełną ścieżkę: studia (6 lat), staż (13 mies.), LEK, specjalizacja (6 lat) i PES. Sprawdź, ile lat trwa całe szkolenie!

15 września 2025

15 września 2025

14 września 2025

13 września 2025

14 września 2025

14 września 2025

13 września 2025

12 września 2025